近日,德国知名介入心脏病学家Dr.med.Krzysztof Pujdak,分享了三例使用Medoo脉动球囊完成的复杂冠状动脉介入手术案例。从急性心梗合并心源性休克的急诊救治,到慢性完全闭塞病变的精细处理,再到分叉病变的精准介入,脉动球囊全程表现优异,推送性、跟踪性。
案例一:急诊救治!76 岁急性心梗合并心源性休克,Medoo球囊高效完成病变预处理
病情危重:多病变叠加,手术难度拉满
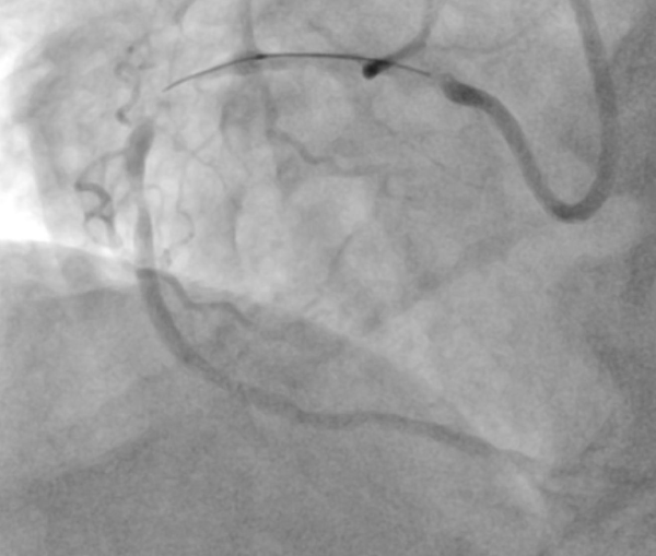
76 岁男性患者因急性 ST 段抬高型心肌梗死合并心源性休克紧急入院,既往有冠脉介入史,此次造影显示:左主干 90% 慢性狭窄,左前降支支架近端和远端新的原发性次全狭窄,优势血管右冠脉远段血栓合并重度钙化,左心室射血分数仅 25%,血流动力学极不稳定,需机械循环支持辅助手术。

Medoo球囊表现:急诊场景适配性佳,操作顺畅无阻碍
手术选用Medoo MeCross CTO半顺应性PTCA球囊扩张导管 2.0×15mm进行靶病变预扩张,球囊顺利通过指引导管直达病变部位,推送性、跟踪性优异,通过重度钙化血栓病变无明显阻力,与国际一线品牌性能相当。充胀至 14 个大气压时,球囊完全均匀扩张,无狗骨效应;放气迅速有效,撤出过程无阻力,全程无手术并发症。且球囊包装精简,急诊场景下可快速拆封准备,大幅节省术前时间,适配急诊救治的高效需求。后续联合其他器械完成支架植入后,患者血流动力学恢复稳定,顺利转至 ICU 监护。

案例二:精准破堵!72 岁冠脉慢性完全闭塞,Medoo MeCross CTO 球囊实现高效初始预处理
病变特点:中等难度 CTO 病变,近端钝帽 + 钙化
72 岁男性劳力型心绞痛患者,右冠状动脉中段慢性完全闭塞(J-CTO 评分 2 分),病变近端帽部钝性、体部钙化,属于中等难度介入病变,采用顺行导丝升级策略进行手术。

Medoo球囊表现:通过性佳,扩张效果理想,全程操作顺畅
导丝顺利通过闭塞段后,选用Medoo MeCross CTO半顺应性PTCA球囊扩张导管1.0mm 球囊进行初始病变预处理,球囊无阻力通过闭塞段并精准定位,充气后扩张充分,为后续器械操作奠定良好基础。整个手术过程中,Medoo球囊拆封简便、充放气顺畅稳定无延迟,无任何操作障碍,产品整体性能与国际一线品牌持平,助力手术顺利完成,最终造影显示病变部位血流通畅,效果优异。

案例三:精细处理!80 岁分叉重度钙化病变,Medoo MeCross 球囊精准完成预扩张
病变难点:左前降支 - 对角支分叉临界狭窄,伴重度钙化
80 岁女性劳力型心绞痛患者,排除急性冠脉综合征后,造影确诊左前降支 - 对角支分叉处临界狭窄,且病变部位重度钙化,血管内超声证实狭窄具有血流动力学相关性,需介入干预。

Medoo球囊表现:定位精准,操作可控,适配分叉病变精细需求
手术选用Medoo MeCross NC 非顺应性PTCA球囊扩张导管3.0×15mm对钙化病变进行预扩张,球囊轻松通过重度钙化狭窄部位,定位精准无偏差,充放气过程顺畅可控,推送性与跟踪性表现优异。
在Medoo球囊高效预扩张的基础上,术者顺利完成主支支架植入、后扩张及对角支病变处理,最终造影显示分叉部位血流通畅,无残余狭窄,手术效果极佳。Medoo球囊全程无任何使用缺陷,再次验证了产品的稳定表现。

临床结论:多场景适配,性能优异,Medoo球囊获海外专家认可
Dr.med.Krzysztof Pujdak在三例不同类型的复杂冠脉病变介入手术中,对Medoo医疗球囊的推送性、通过性、充放气稳定性及临床适配性均给予高度评价:Medoo球囊可适配急诊心梗、慢性完全闭塞、分叉钙化等多种复杂临床场景,操作体验佳,核心性能媲美国际一线品牌,是临床冠脉介入治疗的可靠选择。
未来,Medoo医疗将持续以临床需求为导向,创造新的球囊产品,并不断打磨产品细节、提升产品性能,为全球心血管疾病介入治疗提供更优质、更可靠的器械解决方案,守护患者心血管健康!
